孙某某 — 右肺腺癌
来源: 作者: 发布日期:2018-09-19 访问次数:4643
中医典型病案
【姓名】孙某某
【性别】男
【年龄】67岁
【诊断】右肺腺癌术后,左肺门及纵膈淋巴结转移,多程化疗后 Ⅲ期
【诊断日期】2011年08月
【末次随访】2018年02月23日
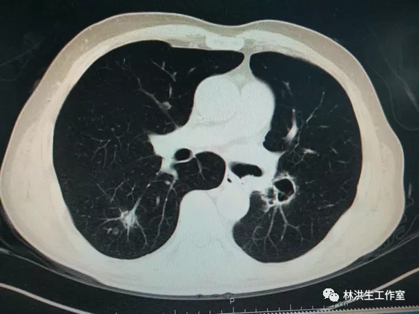
【现病史】患者2011年8月诊断右肺上叶中低分化腺癌Ⅲ期,行右肺上叶切除术后行5周期GP方案辅助化疗,后定期复查胸部CT,病情稳定。2015年1月22日胸部CT提示:右肺下叶近肺门可见形态不规则肿物影,大小约3*3.5cm,纵膈及左肺门可见多发淋巴结影,考虑进展,予中西医结合治疗至今,病灶控制稳定,体力状况PS 100分。
治疗经过
瘤体大小:中西医结病灶控制稳定
2016-11-28

2017-10-21中药治疗后:双肺多发转移瘤大者增大至约2.6*2.3cm

上一位经验分享:雷某 — 右肺上叶癌
下一位经验分享:张某某一非霍奇金淋巴瘤,B细胞低级别滤泡型,累计骨髓


